TAC Contrastada

Información General

Duración Apróx. | 30 Min. - 1 Hora

Se realizan en órganos y tejidos que necesitan un auxiliar de contraste para verse con mayor nitidez. Estos medios pueden administrarse de manera oral, enema o intravenosa.

Generalmente de utilizan soluciones acuosas estériles con yodo o en polvo (como el sulfato de bario)

Indicaciones

Antes

Al tratarse de procedimientos como COLONTAC, se requiere dieta blanda y limpiar el colon antes del procedimiento.

*Para tomografía con material de contraste

• Ayuno (8 horas mínimo)

• Consumo abundante de líquidos posterior

• Dieta blanda para procedimientos gastrointestinales

Durante

Se le pedirá que ingrese a la máquina de TAC, generalmente recostado sobre su espalda. Durante el estudio, el paciente deberá seguir las indicaciones del técnico y permanecer inmóvil durante la ejecución del diagnóstico.

Después

Se le dan las indicaciones para recoger su estudio, en placa o DVD. Los resultados pueden ser enviados por correo a tu médico.

¿Qué podemos ver?

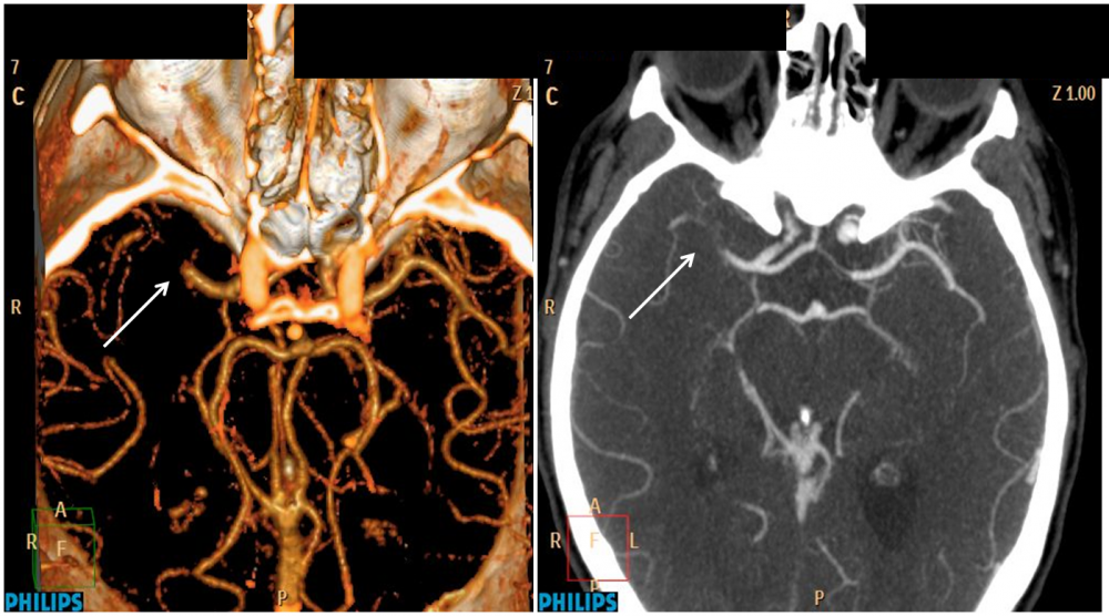
•Huesos | Tejido Blando | Vasos Sanguíneos | Órganos Internos

¿Necesito agendar cita?

No es necesario realizar una cita.

¿Necesito orden médica?

No es necesario acudir con una orden médica.

Usos del Estudio

• Lesiones | Fracturas | Malformaciones

• Inflamaciones | Aneurismas | Tumores | Cáncer

Diagnosticar enfermedades

Identificar cambios morfológicos óseos

Planear terapia de radiación, cirugías o tratamientos

Ejemplo de Imagen informativa