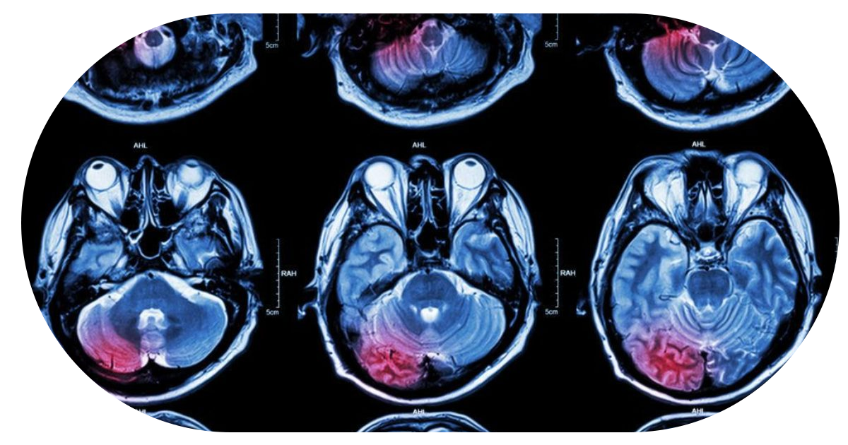
Tumores Cerebrales

Los tumores cerebrales pueden manifestarse con síntomas como dolor de cabeza persistente, náusea, vómito o pérdida de fuerza y sensibilidad.

Una valoración neurológica oportuna es clave para un diagnóstico temprano y tratamiento adecuado.

Ejemplo de Imagen Aqui